Estos procedimientos médicos buscan revelar, diagnosticar o examinar enfermedades. En el contexto clínico, la imagen medica es de suma importancia, ya que con ella el medico podrá confirmar o descartar algún diagnóstico que afecta al paciente. Pero que sucede. La gran mayoría de los pacientes no sabe en qué consiste el examen que se les va a realizar o tienen vagas ideas sobre él. Por el cual el objetivo de esta guía es ofrecerle una idea general de las técnicas imagenológicas utilizadas. Y que así pueda saber que se está haciendo y hacer la respectiva preparación
sábado, 20 de julio de 2013
Técnicas imagenologicas
Se llama imagen médica al conjunto de técnicas y procesos usados para crear imágenes del cuerpo humano, o partes de él, con propósitos clínicos.
Estos procedimientos médicos buscan revelar, diagnosticar o examinar enfermedades. En el contexto clínico, la imagen medica es de suma importancia, ya que con ella el medico podrá confirmar o descartar algún diagnóstico que afecta al paciente. Pero que sucede. La gran mayoría de los pacientes no sabe en qué consiste el examen que se les va a realizar o tienen vagas ideas sobre él. Por el cual el objetivo de esta guía es ofrecerle una idea general de las técnicas imagenológicas utilizadas. Y que así pueda saber que se está haciendo y hacer la respectiva preparación
Estos procedimientos médicos buscan revelar, diagnosticar o examinar enfermedades. En el contexto clínico, la imagen medica es de suma importancia, ya que con ella el medico podrá confirmar o descartar algún diagnóstico que afecta al paciente. Pero que sucede. La gran mayoría de los pacientes no sabe en qué consiste el examen que se les va a realizar o tienen vagas ideas sobre él. Por el cual el objetivo de esta guía es ofrecerle una idea general de las técnicas imagenológicas utilizadas. Y que así pueda saber que se está haciendo y hacer la respectiva preparación
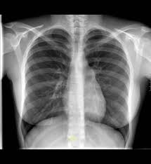
Calidad de imagen radiográfica
Este término se refiere a la fidelidad con la que aparecen en la
radiografía las estructuras anatómicas, los factores que en conjunto determinan
la calidad de la imagen radiográfica son la densidad radiográfica, el
contraste y la nitidez. Pero en esta oportunidad solo hablaremos de la
densidad radiográfica
Densidad radiográfica se suele definir como el ennegrecimiento
general de una película ya procesada y se debe a la precipitación de plata
metálica al ser sometida la película al revelador. Depende de los mAs, de la
distancia foco-pelicula, de la tensión Kv, del proceso de revelado, del uso de
pantallas, de la radiación dispersa y de la zona anatómica a radiografiar.
La combinacion de estos factores puede generarme 3 tipos de imagnes. Una
imagen normal, es decir con los parametros tecnicos adecuados, una subexpuesta
y otra subreexpuesta.
- Imagen Normal
- Imagen subexpuesta
Puede ser debido al revelado de la película, es decir que este sea
insuficiente. La reacción habitual es aumentar la exposición del paciente y de
la película para intentar compensarlo. Esto da lugar a una exposición
innecesaria del paciente
- Imagen
sobreexpuesta
En la radiografía
convencional la "sobreexposición" produce una imagen oscura (vela la
película) lo cual se reconoce como tal. Esto conlleva que en la radiología
convencional sea necesario repetir una exposición. Esto no ocurre en una
radiografía digital, ya que esta sobreexpuesta se ve bien y no se la reconoce
como una radiografía obtenida con una exposición innecesaria.
viernes, 19 de julio de 2013
Reformaciones Volumen Rendering
No se puede comprender el impacto de la TC en la práctica clínica diaria si no se consideran las técnicas de postprocesamiento. En efecto, uno de los aspectos que más ha revolucionado la imagen en radiología ha sido la capacidad de adquirir los estudios de manera tridimensional; la posibilidad de realizar estudios volumétricos. Así, en TC se ha pasado de interpretar imágenes axiales o transversales puras (de ahí el antiguo nombre de tomografía axial computarizada – TAC) a estudiar volúmenes completos que pueden ser reconstruidos en cualquier plano del espacio
Desde la introducción de los equipos multicorte esta
forma de reconstrucción más básica, conocida como reconstrucción multiplanar
(multiplanar reconstruction MPR), se
realiza de manera rutinaria para interpretar los estudios.
Esto es posible gracias a la elevada resolución
espacial y a que la tecnología multicorte adquiere imágenes prácticamente
isotrópicas, lo que permite obtener imágenes de gran calidad diagnóstica
independientemente del plano de reconstrucción
Existen otras técnicas de post-procesamiento como:
- Las proyecciones de máxima o mínima intensidad
- Las reconstrucciones de sombreado de superficie
- Volumen Rendering
Fuente: http://upload.wikimedia.org/wikipedia/commons/3/3d/Bonereconstruction.jpg
Todas estas técnicas de post-procesamiento se realizan una vez terminadas las exploraciones, sin necesidad de adquirir estudios adicionales. En el presente artículo solo habláramos del volume rendering.
El Rendering se define como un proceso
de cálculo complejo desarrollado por un ordenar destinado a generar una imagen
3D o secuencia de imágenes 3D.Este
proceso se desarrolla con el fin de imitar un espacio 3D formado por
estructuras poligonales, comportamiento de luces, texturas, materiales,
simulando ambientes y estructuras físicas verosímiles.Permitiendo realizar al
operador del equipo diferentes modificaciones como por ejemplo el color.
martes, 16 de julio de 2013
Neumotórax
Se define al neumotórax como la presencia de aire
en la cavidad pleural el que proviene producto de una lesión en el parénquima
pulmonar, lo que con lleva un colapso de este parénquima en mayor o menor grado
según sea la cuantía del neumotórax.
Los neumotórax pueden ser clasificados según su
causa y forma de presentación. Ellos pueden ser catalogados como:
·
Espontáneos (primarios o secundarios)
·
Traumáticos (Abiertos o cerrados)
·
Iatrogénicos.
Los espontáneos primarios se ven en aquellos
pacientes sin antecedentes pulmonares, y una vez que se reexpande el pulmón,
éste no presenta ninguna anormalidad en la Rx. de tórax. Los espontáneos
secundarios son aquellos en los cuales el neumotórax se debe como complicación
de una enfermedad preexistente a nivel de parénquima pulmonar. Los traumáticos
pueden verse en relación a traumatismo cerrado o abierto y en estos últimos se
distinguen los por arma blanca y los por arma de fuego. Los iatrogénicos a su
vez se relacionan frecuentemente a la instalación de vías venosas centrales o a
toracocentesis ya sea con fines diagnósticos o terapéuticos.
Edema cerebral
El edema cerebral puede definirse como el incremento de
agua en el tejido cerebral de magnitud suficiente para producir síntomas
clínicos. Esta alteración, está asociada a una amplia variedad de condiciones
patológicas, que incluyen, neoplasmas, infecciones, trauma e isquemia.
Actualmente se clasifica al edema cerebral en dos
principales tipos:
·
Edema vasogénico, secundario a un incremento en
la permeabilidad de la barrera hematoencefálica
·
Edema citotóxico, caracterizado por captación
anormal de agua por los elementos celulares del cerebro.
·
Edema intersticial trasudación de líquido a través
del sistema ventricular
domingo, 14 de julio de 2013
Lipomielocele lumbosacro
Unas de las malformaciones congénitas más frecuentes son las derivadas de defectos de cierre del tubo neural. Estas son malformaciones de nacimiento que no tienen una causa única identificable, se han identificado factores genéticos o hereditarios así como factores ambientales. Entre ellos se encuentra la ingesta de ácido fólico, cuyo consumo adecuado antes y durante el embarazo ha logrado reducir significativamente la tasa de disrafias.
En esta patología se presentan dos tipos de variantes. La disrafia espinal Oculta y la disrafia espinal abierta. La disrafia espinal cerrada es en la cual una o más vértebras están alteradas y la piel está indemne. Generalmente es asintomática y el cuadro clínico puede evolucionar con el crecimiento.Mientras que la disrafia espinal abierta compromete la médula espinal, la que junto a las meninges y el líquido cefalorraquídeo, están contenidos en un saco quístico que protruye a través del defecto óseo, pudiendo o no estar roto y originando síndromes medulares de diversos grados de severidad.
En esta patología se presentan dos tipos de variantes. La disrafia espinal Oculta y la disrafia espinal abierta. La disrafia espinal cerrada es en la cual una o más vértebras están alteradas y la piel está indemne. Generalmente es asintomática y el cuadro clínico puede evolucionar con el crecimiento.Mientras que la disrafia espinal abierta compromete la médula espinal, la que junto a las meninges y el líquido cefalorraquídeo, están contenidos en un saco quístico que protruye a través del defecto óseo, pudiendo o no estar roto y originando síndromes medulares de diversos grados de severidad.
Suscribirse a:
Comentarios (Atom)











